V úterý 21. října proběhl u žáků 6. A a 6. B projektový den s názvem „Tajemství buňky“. Cílem bylo prozkoumat různé druhy buněk, upevnit si znalosti z přírodopisu a vyzkoušet si práci s mikroskopem.
První hodinu jsme se všichni společně věnovali opakování teorie o stavbě a funkcích buňky. Žáci si připomněli rozdíly mezi buňkou rostlinnou, živočišnou a bakteriální a zopakovali si základní pojmy, které budou v dalších aktivitách potřebovat.
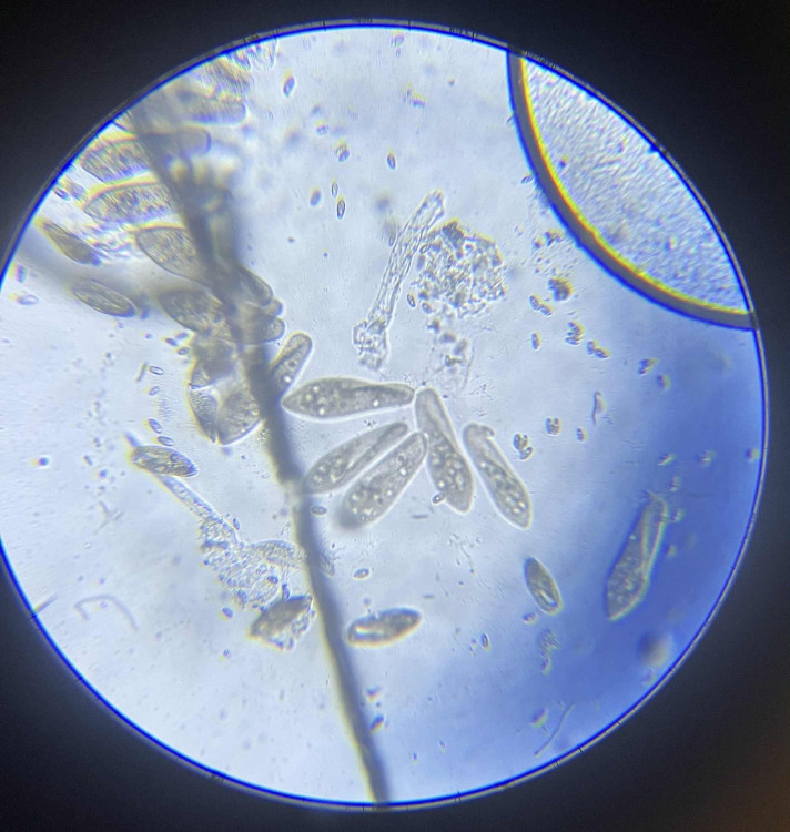
Během druhé a třetí hodiny se třída 6. B pustila do mikroskopování. Žáci si připravili vlastní nativní preparát ze senného nálevu, pozorovali mikroskopické organismy a zapisovali svá pozorování do pracovních protokolů. Naučili se také rozpoznávat různé druhy nálevníků a popisovat jejich stavbu.
Ve čtvrté a páté hodině se žáci proměnili v malé biology–tvůrce. Každá skupina si vylosovala jeden typ buňky, který měla vymodelovat z plastelíny, popsat jeho části a doplnit pracovní list s informacemi o jeho funkcích. Nechyběla ani kreativita a týmová spolupráce – vznikly velmi povedené modely plné barev a nápaditých detailů.
V poslední šesté hodině se obě třídy znovu spojily. Společně jsme vytvořili velký brainstorming – shrnuli jsme, co jsme se naučili, co nás překvapilo a jaké nové poznatky jsme získali. Žáci zároveň poskytli zpětnou vazbu: co je bavilo nejvíce, co by příště chtěli dělat jinak a co by rádi zlepšili.
Celý den se nesl v příjemné, badatelské atmosféře. Projekt byl velmi úspěšný – žáci si nejen rozšířili znalosti o buňkách, ale také si prakticky vyzkoušeli práci s mikroskopem, tvorbu nativního preparátu a spolupráci ve skupině.
Z projektu si všichni odnesli nejen nové vědomosti, ale i chuť zkoumat svět pod mikroskopem dál 🔬✨